Life with a Fractured Leg
Almost 10 days ago, I suddenly got this idea to play badminton and asked my friend if he would join a court with me. He agreed, and we got ourselves admitted to a court nearby the same day, and started playing from the next day.
It was fun... while it lasted.
I got my leg fractured on the 3rd day after joining the court. Yes, it was my mistake but I was running towards the right to hit the shuttle and suddenly tripped while twisting my right leg. I felt an unbearable pain near my ankles and I sat down immediately.
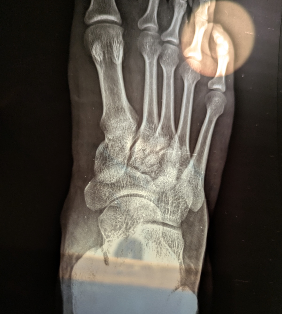
I stayed there for some time, and then somehow got myself home with the help of my friend. And the visit to the doctor revealed that there's a minor fracture between the end of second and third toes (you can probably see that in the x-ray report below) – it's like zig-zag.

I was scared a bit, but didn't think the doctor would recommend getting a plaster (cast) done to the leg. I thought, some crepe bandage would do the job, but... happened otherwise. They used some kind of synthetic cast tape which solidifies within minutes after applying. You can see how it looked at the time – just after the tape was applied.

You know, it was funny that I wore tight pants to the doctor, and I had to cut them to remove after the cast was applied.
Initially, it was very uncomfortable to even walk a step, but now I've gotten acquainted with it as it's been a few days. I can slowly walk to the washroom, kitchen, work setup room, and towards the main door for my daily works. It's just that I can't cook anymore and it's okay, Swiggy, Zomato, and BigBasket are of big help here.
But it has to go on for 30 days – another 25-26 days to be precise.
The good thing is, I can still work. I can comfortably sit in front of the computer for as long as I want, and do whatever (guess what, I'm using Cursor AI a lot these days). Life's been a bit slow, but it's giving me a lot of time to think:
- that how uncertain life is – anything can happen to anyone
- you do not always get what you plan for, so shouldn't take life that seriously
But... I'm good.
Still learning new things, working, having fun, and enjoying this part of the life. Actually, I am sleeping a lot more these days and the health is good as well. Sometimes, I also play games on my phone especially the Mini Militia game, and loving it.
It seems like nothing bad has happened, I am already adapted to this new temporary style of life.
Clearly, whatever happens, life goes on!
And... I will be playing badminton again. For sure.
Comment via email